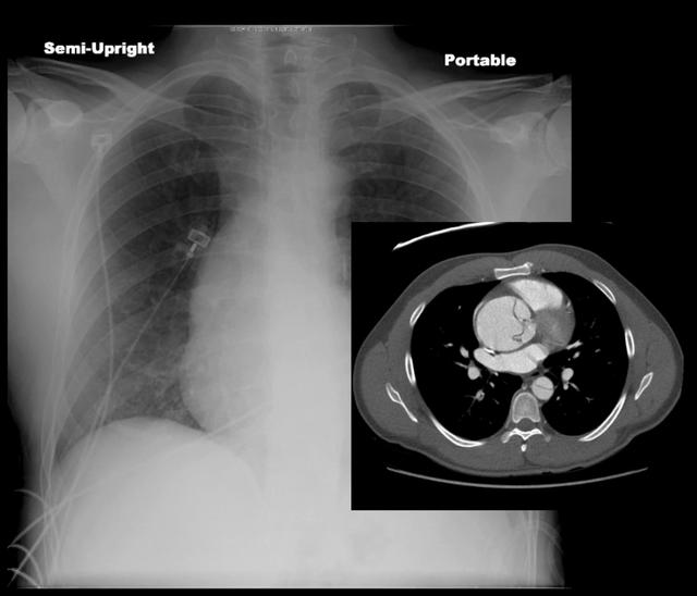
In this video course, Dr. Mohamed Muftah will explain three common deadly diseases that can be diagnosed from CT scans of the chest and present with chest pain.
course goals
- Learn CT scan findings of aortic dissection.
-Learn classification of aortic dissection.
-Learn common presentations and complications of aortic dissection.
-Learn how to diagnose submassive and massive pulmonary embolism.
-Learn when to suspect and diagnose esophageal rupture.